Home Il Direttore Il rapporto infermiere-paziente: storie di tutti i giorni
Il Direttore

Il rapporto infermiere-paziente: storie di tutti i giorni

Condividi
Il rapporto infermiere-paziente: storie di tutti i giorni 1
Condividi

Riceviamo e pubblichiamo un significativo contributo di Mirco Montinari, nurse practitioner al Darlington Memorial Hospital.

Gentile Lettore,
sono al sesto anno di carriera infermieristica e, nonostante le difficoltà e la criticità gravi di questa nobile professione, non posso negare le soddisfazioni e la passione che tuttora mi dona.

Noi infermieri siamo così strettamente legati nel rapporto infermiere-paziente che troppo spesso ci ritroviamo a somatizzare e condividere le esperienze dei nostri pazienti. Vediamo da prospettive differenti quelle realtà che i più sfortunati affrontano una volta nella vita, preferibilmente nella loro anzianità. Siamo costretti a rivivere queste esperienze giorno dopo giorno, in una sequenza che talvolta sembra mirare all’infinito, con la consapevolezza che un giorno potremmo provarle sulla nostra pelle. La nostra carriera riserva una lista di esperienze che si colorano di cupi momenti di tristezza, malinconia e stress, contornati da più vividi momenti di serenità.

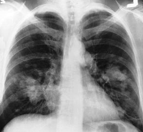
Il rapporto infermiere-paziente: storie di tutti i giorniNon dimenticherò mai A., un paziente sulla quarantina che si presentò nell’unità di assessment per dolore in quadrante superiore destro. Sospettando una litiasi della colecisti, decisi di effettuare esami ematici e prenotare un’ecografia urgente. Come da protocollo, però, prenotai una lastra del torace per escludere una possibile perforazione (interpretabile come aria sotto il diaframma). La lastra si presentò pressappoco come quella qui accanto. Allarmato da un’immagine che mostrava delle “ombre sospette”, chiamai urgentemente il chirurgo di turno, chiedendo di controllare l’RX. Dall’altro capo del telefono mi rispose: “Quelle sembrano metastasi, facciamogli una TAC”. La prenotai e il risultato fu quello sospettato. Le lesioni tumorali nei polmoni erano secondarie a metastatizzazione di lesione carcinomatosa del colon.

Ricordo ancora chiaramente quando io e il chirurgo chiamammo A. nella saletta per comunicargli l’esito. Lui era scioccato, ma sembrava non realizzare la gravità della situazione. Io, d’altra parte, ero stato colpito in pieno stomaco e guardavo il paziente quasi a chiedere perdono per quanto scoperto. Strana sensazione, quella di sentirsi in colpa per aver trovato una diagnosi che condanna. Una diagnosi che molto probabilmente non dà scampo. Vorresti chiedere scusa al paziente. Ma di cosa, esattamente? Risulta difficile persino consolarlo. Non puoi dirgli che tutto andrà bene o che risolveremo il problema. Quindi rimani lì col tuo paziente, aspettando che ti chieda qualcosa, sperando di essere in grado di rispondergli. Lui parla e tu ascolti, senza mai interromperlo.

Quella, però, fu la prima di una lunga lista. Tra un’appendicite e un ascesso, tra una colica renale e una colecistite c’era sempre una “scoperta accidentale”. Quando inizi a investigare, si trova sempre qualcosa. Forse è per questo che in ambito sanitario gli operatori sono così negletti. Si lavano le mani duecento volte in una giornata, ma difficilmente andranno a indagare sui loro problemi. Ogni volta che uno dei tuoi pazienti muore a seguito di una tua scoperta accidentale qualcosa in te cambia: inizi a fare amicizia coi pazienti, sempre di più; senti il dovere di dar loro il massimo supporto e la maggior parte dei pazienti sembrano capire che sei più premuroso con coloro che portano il macigno più pesante.

Come potrei mai dimenticare J., una donna sulla cinquantina, innamorata del mio accento italiano e dei miei lineamenti mediterranei. Ogni volta che veniva nell’unità operativa portava qualcuno di diverso: le amiche, la madre, le figlie, persino il marito. Voleva che li conoscessi tutti. E voleva che loro conoscessero di persona l’italiano che si prendeva cura di lei e delle innumerevoli ferite causate dai trattamenti chirurgici. Io sorridevo e chiacchieravo con tutti.

La diagnosi di J. non era per niente buona. Il chirurgo, nel suo caso, pronunciò la parola che ti condanna a morte certa: “inoperabile”. Cancro, sempre cancro. Ogni volta è quella la condanna a morte. In clinica, J. mi faceva i complimenti per il nuovo taglio di capelli, per i baffi, e ogni volta sembrava flirtare con me. Io ridevo, le cantavo canzoni italiane mentre la accompagnavo in saletta con la sedia a rotelle. Gli altri pazienti in sala d’attesa non erano per niente turbati da questi comportamenti. Ormai J. era costretta su una sedia a rotelle, non aveva più capelli, stava morendo sotto gli occhi di tutti.

Un giorno mi chiese di controllare una delle sue ferite chirurgiche: sentiva una massa. Pensai a un’ernia incisionale, non rara in soggetti con stomie e con una cronologia chirurgica così vasta. La portai in sala ed esplorai la ferita, rendendomi subito conto che non era quanto sospettato. Nella cavità addominale si “nascondeva” un ascesso di vaste dimensioni e quantità. In pochi minuti avevo raccolto circa 900 ml di liquido, che aveva il classico odore di batteri gram negativi. Rimasi così sorpreso dalle quantità del drenato che dovetti chiamare il chirurgo. Lui visitò J. e decise di effettuare una TC. Il report di quella scan fu funesto. Mentre lo leggevo, sembrava quasi fosse infinito e per un momento pensai che non descrivesse nemmeno la stessa persona. Come poteva ancora essere in vita? L’ultima volta che l’ho vista, J. mi disse di aver visto in tivù la pubblicità di un trimmer per i miei baffi, e che me l’avrebbe regalato per Natale. Ma J. non vide mai quel Natale.

Le relazioni sono ogni volta differenti. Con alcuni stringi un rapporto più stretto, con altri sei costretto a rimanere più distante e altri, invece, con te non vogliono avere niente a che fare. Tu sei un infermiere, il tuo lavoro e prenderti cura di loro, e accetti qualsiasi tipo di rapporto loro vogliano avere. Ricordo a me stesso che si deve essere amichevoli con tutti i pazienti, ma non essere mai amici, per non influenzare il proprio giudizio clinico. Magari fosse così facile.

Il giorno della vigilia di Natale ho ricevuto una notizia inaspettata. Uno dei miei pazienti, trasferito in un ospedale più grande e specializzato, era morto. P. aveva 30 anni (eravamo quasi coetanei) e ricordo perfettamente quando lo visitai per la prima volta: dolore in fossa iliaca destra; negativo al segno di Rovsing; proteina C reattiva; globuli bianchi nei range. Solitamente in fossa iliaca destra le più comuni patologie chirurgiche per un maschio adulto sono: appendicite; tumore/ostruzione in zona ileo-ciecale. Quest’ultima rarissima in un paziente di 30 anni. Teorizzai che potesse essere un’appendicite ai primi stadi, ma appena notai una linfoadenopatia in zona inguinale dovetti ricorrere al supporto del chirurgo.

Il chirurgo voleva vederci chiaro. Si eseguirono TC e addirittura una laparoscopia esplorativa, prendendo delle biopsie. Dopo quel momento non lo vidi più, fu trasferito di reparto, poi d’ospedale. Lo vidi di sfuggita mentre lo trasferivano ed ebbi pochi secondi per chiedergli come stesse. P. era su una lettiga, pallido e cachettico. Mentre si allontanava nel corridoio, alzò il pollice. Morì dopo qualche giorno. Non mi è dato conoscere la diagnosi.

A ogni brutta notizia ti guardi attorno con malinconia, pensando a chi sarà il prossimo, per poi sentirti in colpa per questo pensiero. Speri che possano vivere i loro ultimi momenti con le loro famiglie e senza dolore. Gli infermieri palliativisti fanno un lavoro eccellente, danno un supporto costante e continuativo, lavorando molto sulla sfera emotiva e psicologica.

S. è uno dei miei pazienti con cancro al colon. Ultimamente ha avuto problemi di ritenzione urinaria, quindi abbiamo deciso insieme di inserire un catetere vescicale, attendendo una visita urologica che ho prenotato per lui. Ogni qualvolta ha un problema, mi chiama telefonicamente o viene direttamente in reparto per prendersi una tazza di tè e chiacchierare. Non è nelle policies utilizzare il tempo di un nurse practitioner o charge nurse (infermiere coordinatore) per chiacchierare e bere tè, ma non mi interessa.

S. è una bravissima persona ed è paziente, sa che dovrà aspettare che io mi liberi prima di riceverlo. Lui si siede in sala d’attesa e legge il giornale in religioso silenzio. Ultimamente ha avuto problemi famigliari: la moglie sta molto male. Me lo ha detto quando è venuto a Natale per portarmi una scatola di biscotti. Gli è giunta voce che ho rassegnato le dimissioni e che mi trasferirò a breve. Mi ha abbracciato e mi ha detto di essere triste per la mia partenza, ma felice e speranzoso per il mio futuro. Ancora una volta, un immotivato senso di colpa si è fatto avanti.

Mirco Montinari
Nurse practitioner
Darlington Memorial Hospital

 

Condividi

Lascia un commento

Lascia un commento

Il tuo indirizzo email non sarà pubblicato. I campi obbligatori sono contrassegnati *

Articoli Correlati
Il DirettoreNT News

Buona Pasqua agli infermieri e a tutti gli operatori sanitari: da NurseTimes un messaggio di pace e rinascita

La redazione celebra gli operatori sanitari con un augurio speciale a infermieri,...

Infezioni correlate all'assistenza e malattie infiammatorie croniche intestinali. I dati dell'indagine
Il DirettoreNT News

Il dovere di chiedere scusa

Articolo di rettifica su compenso del dottor Tonino Aceti in qualità di...